Skoliozy
Podstawowe grupy skolioz:
wrodzone
porażenne
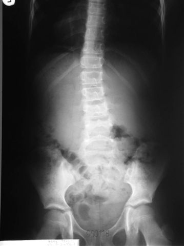
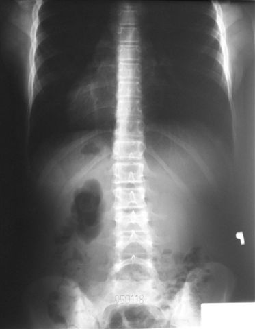
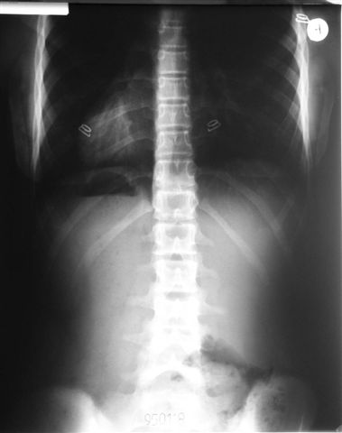
skoliozy tzw. idiopatyczne
W początkowych skoliozach tzw. idiopatycznych przez specjalny system usprawniania i ćwiczeń, zalecenia rehabilitacyjne można zatrzymać rozwój skoliozy a nawet uzyskać poprawę osi kręgosłupa.
Na radiogramach przebieg leczenia jednej z moich pacjentek.




